


随着现代医学诊断水平的飞速发展,影像精准诊疗的运用越来越广泛,临床医生已不再满足于常规影像图像。三维重建是影像应用的最大优点,也是影像工作多年来从横断层到多层面乃至立体的飞跃,让抽象变得形象,大大提高诊断的准确性,为临床工作的开展注入了无限生机,从而解决许多以往临床上无法开展的难题。
淮南济民医院影像科开展的“CT三维立体造影检查”,“磁共振类检查技术”,检查时间短、痛苦少,且能够清晰、多方位地展示检查部位的情况,提高病变定位准确性和检出率,为患者提供了新的有效筛查选择。

(淮南济民医院影像科)我院影像科除承担常规CT检查外,还开展以下影像技术:
大肠CT成像检查技术
大肠CT成像检查是在特殊的腹部CT断层扫描的基础上,借助多种不同的重建成像手段,从多视角、多途径全面展示大肠病灶,精准地诊断大肠疾病的一种检查方法。腹部常规CT扫描时大肠处于自然状态,肠管内充填大量粪便与气体,收缩增厚的肠壁和肠内容物严重干扰大肠早期、较小病灶的检出。大肠CT成像检查是将大肠清洁干净后,通过低张药物松弛肠壁平滑肌,经肛门插管注入适量空气,让肠管充分扩张后再行CT薄层扫描,此时的大肠壁菲薄如纸、厚度均匀、柔软圆滑,有利于早期的、小的病灶检出;大肠CT的平扫图像可观察病变对肠壁、肠外的侵犯程度,观察腹盆腔脏器、淋巴结、骨骼有无转移,增强图像可观察病灶的血供情况;断层图像的原始数据还可进行多平面重建(MPR)、表面遮盖法重建(SSD)、容积漫游重建(VR)、电子仿真内窥镜重建(VE),提供了多种展示病灶的方式。
大肠CT成像检查技术适用于:① 大肠肿瘤,尤其是早期肠癌的检出率很高,晚期肠癌重度狭窄、肠镜难以通过时亦适用。② 大肠息肉、憩室。③ 溃疡性结肠炎、肠结核、克隆氏病。④ 肠镜检查困难患者。
图像展示
特殊断层图像:展示柔软、菲薄如纸的大肠壁;观察肠外情况。

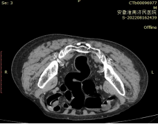
定位像

俯卧超薄断层像
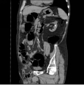
MPR图像:多方位观察大肠病变的三维形态及与周围的毗邻关系。

冠状位

矢状位

斜冠状位
SSD图像:类似于大肠低张气钡双对比X线造影,可观察肠腔整体形态。

VR图像:类似于肠管注蜡,
可显示肠腔三维立体形态。

VE图像:模仿肠镜在肠腔内观察病灶表面的形态,色泽系伪彩编码。

2.碘水造影剂灌肠CT成像检查技术
在生理盐水清洁灌肠后,经肛门插管,用碘水造影剂灌肠进行CT断层扫描,结合多平面重建(MPR)、三维重建(3D),检查大肠瘘的瘘口位置、瘘管途经、瘘管直径,是一种全新的CT检查技术方法,该项检查技术方法简便、行之有效。
病 例 展 示
临床资料:患者系直肠癌切除术后半年,直肠-阴道瘘修补术后2个月再发,二次术前了解瘘管情况。
检测方法:常规准备,取左侧卧位肛门插管,缓注碘造影剂稀释液约100ml(碘剂∶生理盐水=1∶2),见阴道有液体流出,行俯卧位盆部扫描,将断层图像原始数据进行多平面重建(MPR)、三维重建(3D),展示瘘管形态。
C T 图 像
断层图像:直肠(黄色箭头)、阴道(黑色箭头)
瘘管(红色箭头)

3D图像:直肠(黄色箭头)、阴道(白色箭头)
瘘管(红色箭头)

3.磁共振的磁敏感加权成像检查技术
磁敏感加权成像(Susceptibility weighted imaging,SWI)是新近发展起来的磁共振成像技术。由于人体正常组织或病变中的亚铁、正铁离子在外加磁场中属于磁敏感特别强的物质,因此该项磁共振检查技术对病变中微量、慢性出血灶的检出及含有丰富去氧血红蛋白血液的微细静脉的显示,比CT检查和MR常规序列检查都有着极好的效果,目前主要用于中枢神经系统。
SWI检查技术适用于:① 脑血管病——由淀粉样变性、微动脉瘤、纤维性动脉炎等引起的慢性、微量脑出血;大面积脑梗死合并小灶性脑出血。② 脑创伤——由轻微脑震荡至严重脑昏迷性的轴索损伤。③ 小血管畸形——毛细血管扩张症、静脉瘤、海绵状血管瘤、三叉神经血管瘤病。④ 神经元退变性铁沉积症——帕金森病、阿尔兹海默病、多发性硬化、肌萎缩侧索硬化、多系统萎缩、亨廷病、某些血液系统疾病。⑤ 脑肿瘤——显示肿瘤内的引流静脉、微血管、微出血,可鉴别肿瘤的良恶性和恶性程度。
病 例 展 示
患者脑血管病变引发的慢性微量出血。

图解:磁敏感加权图像中黄色箭头指示的黑色圆点为脑内出血灶。
4.磁共振类PET检查技术
PET是正电子发射计算机断层检查技术,属于功能成像类别。它是向人体内引入放射性核素后,通过计算机断层扫描,检出人体内的肿瘤原发灶和转移灶,并通过测量SUV值来鉴别肿瘤的恶性度。
磁共振也具有类似PET的检查技术。它是通过3D薄层的弥散加权图像进行重建,产生类似于PET检查的效果,同样具有对原发灶和转移灶进行巡查的作用,通过测量ADC值也可以鉴别肿瘤的恶性度。
病 例 展 示
患者系左舌根部癌、左下颈部淋巴结转移,行维持治疗后复查。
冠状位T1WI图像

舌根部原发肿块

左颈部转移淋巴结
冠状位T2WI图像:

舌根部原发肿块

左颈部转移淋巴结
弥散成像显示左颈部转移淋巴结:

DWI图像

ADC图
头颈部正面类PET图像:

舌根部原发灶(红色箭头)、
左颈部转移淋巴结(蓝色箭头)
淮南济民医院影像科全体医护人员本着对病人高度负责的态度,以检查及时、收费合理、诊断准确而深受患者的信赖。我们愿以先进的设备、精湛的医术,热忱的服务竭诚为广大市民朋友提供优质的服务。
咨询电话:0554-2690035;
地址:淮南市田家庵区淮舜南路212号。
淮南济民医院
就诊咨询:0554-2690626
急救电话:0554-6262120
投诉电话:0554-8887120/2690204
医院地址:安徽省淮南市朝阳东路121号

就诊咨询:0554-2690626急救电话:0554-6262120投诉电话:0554-8887120/2690204
医院地址:安徽省淮南市朝阳东路121号
Copyright © 2026淮南济民医院
微信公众号
手机版


微信公众号

手机版
