

近日,淮南济民医院超声诊断中心彩超室新添了一员“生力军”——昆仑Resona 7高端彩色多普勒超声系统,其搭载革命性的ZST+域光平台,通过创新的域扫描技术、全域动态聚焦、智能声速匹配,获得更清晰的超声图像,拥有业内较高的穿透率和分辨率,引导高端超声影像技术新航标。

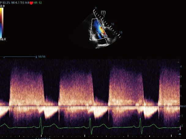
强大的心脏彩超多普勒
依靠高性能彩色多普勒超声功能,作用于心脏大血管系统,可发现相应心脏当中的缺损部位及心脏瓣膜的扩张、狭窄、病变,以及相应大血管的动脉粥样硬化,还有相应血栓等情况,具有多角度、多方位观察功能,且显像清晰,诊断准确率高。

优异的图像品质
基于ZST+域光平台,昆仑Resona 7 定义了优异超声图像的新标准,可用于剪切波式弹性成像、外围血管动态向量血流监测、多学科融合成像等,满足临床诊断中对超声图像的更高要求。
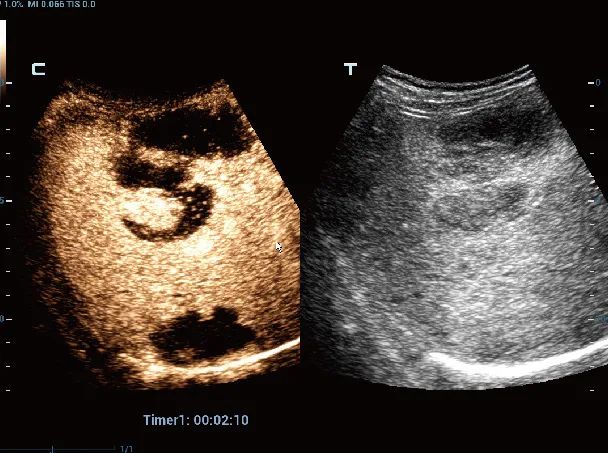
影像图

胰腺

踝关节外伤积液

卵巢

睾丸血流
影像图

颈总动脉和颈静脉

主动脉反流

肝癌造影

动态向量血流
动态向量血流V-Flow
通过彩色编码的向量箭头来追踪血流速度的大小和方向,生动且准确地显示外周血管的血流动力学特征,包括血管的管径、走行、分布和血管的丰富程度。依靠其高性能的彩色多普勒超声功能,能够显示直径在两毫米以下的细小血管,以及低速血流、低流量的血流,用于评价脏器血流灌注和病灶的血供特点,且无角度依赖,是极具价值的血流动力学研究工具。

STE弹性成像
采用超宽带追踪技术,STE可以提供更快、更精准和更好穿透力的定量弹性图像,不仅定量组织的硬度信息,还具备评估组织浸润边界的shell功能。

昆仑Resona 7高端彩色多普勒超声系统的运用,帮助超声诊断医生提高病灶区域的细节信息和图像清晰度,让细微病灶、复杂病灶无处遁逃。
下一篇:盆底康复治疗仪
淮南济民医院
就诊咨询:0554-2690626
急救电话:0554-6262120
投诉电话:0554-8887120/2690204
医院地址:安徽省淮南市朝阳东路121号

就诊咨询:0554-2690626急救电话:0554-6262120投诉电话:0554-8887120/2690204
医院地址:安徽省淮南市朝阳东路121号
Copyright © 2026淮南济民医院
微信公众号
手机版


微信公众号

手机版
